【南区周年征文】④80岁老人的“心”生之路
80多岁的李大爷这一年来过得并不轻松。每次走路,他都会感到心慌气短,甚至喘不上气来。更折磨人的是,他的心跳时快时慢,像一只失控的鼓点,时不时就让他跌入胸闷、眩晕的深渊。老人辗转多家医院,住院治疗一次次缓解了症状,但没过多久,病情又卷土重来。一次次希望,一次次失望,他的身体每况愈下,连夜里躺下都喘不上气,浮肿的双腿更是让他寸步难行。在家人的陪同下,他来到了南区心血管内科,希望这里的专家能给他一个答案。
南区心血管内科心律失常团队迅速展开评估,结合影像学检查,找到了真正的病因——房颤。房颤不仅让心脏跳得乱七八糟,还让李大爷的心房异常扩大,直径已有54mm,导致心衰加重,血液在心房内淤积,形成血栓的风险大增。一旦血栓脱落,最严重的后果可能是心源性脑卒中(中风)。而李大爷的情况并不简单,他巨大的左心房增加了手术难度,传统消融方式可能无法完全终止异常电信号的传导。必须采用更精准、更彻底的策略!
如何帮助这位老人摆脱困境?心律失常团队决定为他实施“房颤一站式手术”!手术团队选择了Marshall静脉无水酒精消融+2C3L高难度术式。这是一项目前国内较为先进的消融手段,精准、高效,但对术者的操作要求极高。
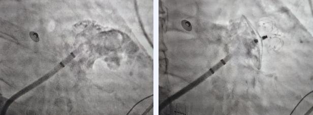
经过仔细讨论手术方案,在家属的期待下,房颤一站式手术紧锣密鼓的开始了。术中,治疗团队先用造影技术让冠状静脉显影,精准定位隐匿在心脏血管网络中的“罪魁祸首”——Marshall静脉,用球囊封堵静脉开口,精准灌注无水酒精,让这一片心肌区域失去电传导能力,从而切断房颤的“火种”。
团队使用消融导管,对心脏内膜的关键部位进行精细消融,彻底阻断异常信号的传播。
随后,他们在患者左心耳处植入封堵器,“封死”了这个最容易形成血栓、诱发卒中的区域,从源头上降低中风风险。

经过五个半小时的鏖战,李大爷的心律恢复正常,手术成功!
心律失常团队的努力,不仅让患者摆脱了房颤的折磨,更降低了未来心衰和脑卒中的风险。对于一位80多岁的老人来说,这不仅仅是一场手术,而是一次“新生”。
据了解,2024年医院心血管内科已开展近30例房颤一站式手术,技术成熟,患者满意度高,为心血管疾病患者带来新的健康福音。

“房颤一站式手术”是一种先进的治疗策略,它将房颤消融与左心耳封堵同时进行,既能恢复心律,又能降低卒中风险,大幅减少患者二次手术的痛苦,一次手术就为房颤治疗加上“双保险”。
这是一场紧张的“健康争夺战”,80多岁的老人饱受房颤之苦,面对老人复杂的心脏情况,南区心血管内科心律失常团队迎难而上,为老人带来“心”生!目前李大爷已经康复出院,他乐呵呵的说,以往困扰他的心慌气短、胸闷眩晕现在都好多了,天天睡得好吃得香。说到这里,李大爷还不忘夸一夸南区,他说,南区的病房环境好,护理也精心,他十分感谢南区心血管内科医护人员,是他们优质的诊疗和照护,让他再次拥有了健康的生活!
医学的进步,不仅关乎生存,更关乎生活质量,每一次成功的挑战,都是心脏病学新的成果。感谢南区心血管内科在专业上一次又一次的技术突破,为广大心血管疾病患者带来更多健康希望!