松动出血莫忽视,牙周健康要重视
王女士才三十多岁,满口牙齿就已经松动长达两年时间了,她一直很健康,平时也不抽烟,所以为了牙齿的问题很是烦恼。而直到她来医院进行了口腔检查,这才知道自己已经患有重度慢性牙周炎了!
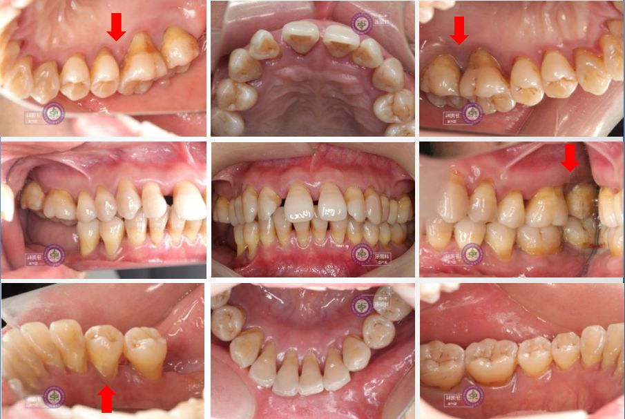
在专科检查中,医生发现王女士口腔卫生欠佳:牙石、菌斑堆积,牙龈边缘颜色暗红并且有明显的水肿;46、47缺失,前牙深覆(牙合)、深覆盖并存在扇形移位。26颗牙的156个位点中,BOP(+):82%,菌斑(+):83%,溢脓: 2个位点,PD≥4 mm : 62%,PD≥5 mm:37%,PD≥6 mm:19%,平均PD:4.1 mm,平均CAL:5.8 mm。检查后,医生严肃的告诉王女士,情况严重,必须进行长期治疗。
口腔科专家为患者制定了“四步走”的治疗计划:一是进行牙周基础治疗,包括洁治、龈下刮治、根面平整、拔牙,以及对患者进行口腔卫生宣教;二是为患者行以清创及增量牙周组织为目的的牙周手术治疗;三是修复治疗,为患者弥补缺损;四是牙周支持治疗,这一步贯穿始终,需要定期维护患者口腔环境。
经过了一年半的治疗,王女士的牙龈问题得到极大改善,牙齿松动也好转了。想起一路的治疗过程,王女士遗憾的表示:“要是能早点来看病就好了,牙的问题一定不能拖!”

患者治疗前口内照

患者基础治疗一年半后口内照
什么是牙周病?
正常情况下,牙周组织围绕着牙齿及牙根周围,光滑的粉红色牙龈紧密地包绕着牙齿,覆盖在牙槽骨上。如果您发现自己出现了刷牙出血、牙齿松动、溢脓,那么您很可能患了牙周病。
牙周病是口腔科最常见的疾病之一,是一种侵犯牙龈、牙周韧带和牙槽骨的慢性感染性疾病,发病率居高不下,是牙齿松动、脱落、口臭的主要原因,特别需要早预防、早治疗。慢性牙周炎主要包括牙龈萎缩、牙周变性和牙齿松动。
牙周病是如何侵犯牙齿的?
1.牙龈炎阶段。牙周疾病在早期只侵犯牙龈,称为牙龈炎,主要症状是牙龈红肿、刷牙或咬硬物时出血。
2.早期牙周炎。除牙龈炎症外,牙周袋形成,牙槽骨轻度吸收。
3.中期牙周炎。牙周袋进一步加深,牙齿松动、移位。
4.晚期牙周炎。牙槽骨几乎完全被破坏,牙齿松动、脱落。
如何预防牙周病?
养成良好的口腔卫生习惯,坚持做到早起及睡前刷牙、饭后漱口,推荐使用巴氏刷牙法,每次三分钟。拒绝吸烟,纠正张口呼吸、单侧咀嚼等不良习惯。学会使用牙线、牙间隙刷或冲牙器进行辅助护理。每半年至一年进行一次洁牙和口腔检查。
总之,牙周病是一种常见但可以预防和治疗的口腔疾病,“老掉牙”并不是一种自然状态,在六七十岁的老年人里,有人一颗牙也没有,有人一颗牙也不缺。保持良好的口腔卫生习惯和定期进行口腔检查非常重要,可以帮助我们预防并控制牙周病的发生,提高生活质量。
虽然现在有种植牙、牙齿修复等技术可以弥补坏牙、缺失牙,但牙齿还是原装的好。从现在起,定期洗牙,定期看牙医,保护好自己的牙齿,才能一直“笑出灿烂”!
图片|口腔科 供稿丨李莹 孙卫国 核稿丨陈心妍 审稿丨袁誉宁